main
-
إصدارات فنية
Mohammad Rammal يتألق كعادته في إصداره الجديد
يمضي المنشد محمد رمال تأّلقًا في مولوده الجديد: ” يا شعوب الأرض اسمعونا”… يحمل مشعل قضية فلسطين وشعبها ومشعل القضية…
أكمل القراءة » -
أخبار خاصة
الناشط “Rayan Hayek” يعود لإستكمال نشاطاته بدعم والدته ومساندة بعض النجوم
يُقال:”لا تُرمى بالحجارة إلا الشجرة المُثمرة”، من منطلق هذه العبارة يمكننا بدء الكلام عن الناشط اللبناني الشاب ريان حايك، الذي…
أكمل القراءة » -
أخبار خاصة
عالية فيصل الخالد تقدم برنامج الف ثانية مع عالية
شاركت الباحثة في شؤون التنمية الكويتية عالية فيصل الخالد متابعيها عبر منصات مواقع التّواصل الاجتماعيّ دردشة وحوار مفتوح حول قضايا…
أكمل القراءة » -
أخبار خاصة
رجل الأعمال علي مكي يكشف اهم عناصر نجاح رجل الأعمال
يتساءل الكثيرون عن سرّ نجاح رجل الأعمال اللّبنانيّ علي مكي، الذي لا يكلُّ ولا يملُّ من السّعيّ المتواصل لِتحقيق النّجاح…
أكمل القراءة » -
أخبار خاصة
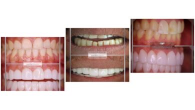
الدكتور “Habib Zarifeh” يقدم نصائح حول اختيار درجة اللون الأبيض “Bleach” المناسب لأسنان المريض
منذ ان وُجِدَ طُبّ الأسنان التجميلي، كان لون عيون المريض وبشرته من العناصر الأساسية المعتمدة في اختيار لون الـ”Bleach” المناسب…
أكمل القراءة » -
أخبار خاصة
بعد النجاحات المتتالية… أعمال يحضر لها Firas kazma
أنه فراس كزما صاحب برنامج ولا أطيب مع فراس،الذي رسم طريقاً لحياته المهنية في برنامج يشكل قوة لا مثيل لها…
أكمل القراءة » -
أخبار خاصة
Imeeto يخطف القلوب بخفة دمه
الممثل محمد ناصر الشامسي المعروف ب ميتو ،ممثل كوميدي وشخص محبوب من الجميع، يجذب الأنظار بابتسامته و ضحكته و قدرته…
أكمل القراءة » -
أخبار خاصة
دانا عيتاني ترفض عروض كبار المخرجين التمثيلية لهذا السبب!
أفادت مصادر مقربة من الدكتورة النفسية دانا عيتاني أنَّ الأخيرة تلقت خلال الفترة الماضية العديد من العروض التمثيلية الدّرامية والسينمائية…
أكمل القراءة » -
أخبار خاصة
مريم حسين وجه إعلاني لعلامة تجارية عالمية
تتمتع الممثلة مريم حسين بشعبية كبيرة حول العالم وعبر تطبيق انستغرام، إذ يتابع حسابها الشخصي ملايين المعجبين من جميع أنحاء…
أكمل القراءة » -
أخبار خاصة
”The Master Piece” متعددة الإستخدامات من “Face of Dee” صنعت خصيصًا لـ”Benefit”
بالتعاون مع شركة “بنفت Benefit” العالمية، أطلقت مؤخرًا العلامة التجارية الخاصة بالمكياج “Face of Dee” لصاحبتها سيدة الأعمال دارين السمراني…
أكمل القراءة »