أرقام وإحصاءات
-
حصل أحدث هواتف سامسونج ذات الميزانية المحدودة على خصم مفاجئ
تشتهر شركة Samsung بتصنيع بعض من أفضل الهواتف الموجودة هناك. وعلى الرغم من أن أجهزتها المتطورة من سلسلة Galaxy S…
أكمل القراءة » -
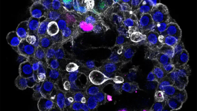
عمر أطول تجربة معملية في العالم يبلغ 100 عام تقريبًا
في بعض الأحيان يمكن أن يكون العلم بطيئًا بشكل مؤلم. فالبيانات تأتي بالقطرات والرتابة، والحقيقة تتقطر، والصدق يصبح لزجًا. العالم…
أكمل القراءة » -
يمكن لـ Moto Razr Fold أن يجعل موتورولا هي الملك مرة أخرى
نحن في شهر يناير فقط، ولكنني واثق من قول ذلك موتو رازر فولد يجب أن يكون أحد أكثر الهواتف الذكية…
أكمل القراءة » -
ذكاء اصطناعي مبتكر يكشف العلامات الأولى للخرف
وتمكن نظام الذكاء الاصطناعي هذا من اكتشاف 62% من الحالات الفعلية لتراجع العقل والذاكرة في الاختبارات العملية الأولى. أفادت بذلك…
أكمل القراءة » -
تعديلان صغيران على هاتفي الذي يعمل بنظام Android أدى إلى تقليل وقت استخدام الشاشة بشكل كبير
من السهل جدًا التورط في دوامة الموت، وخسارة ساعات في وقت كان من الأفضل قضاءه في فعل أي شيء آخر…
أكمل القراءة » -
العام الجديد، نفس الهاتف الذكي المفضل. لا تزال صفقة Motorola Razr Ultra هذه قيد التنفيذ في عام 2026
ربما تكون التقويمات قد تغيرت، لكن بعض الأشياء تظل كما هي. ولم أخفي حقيقة أن موتورولا رازر الترا كان هاتفي…
أكمل القراءة » -
تكشف وثيقة سامسونج الرسمية عن الأسماء النهائية لسلسلة Galaxy S26
وحتى الربع الثالث من العام الماضي، كان هذا هو الاعتقاد السائد على نطاق واسع سامسونجستبدو السلسلة الرئيسية القادمة مختلفة بعض…
أكمل القراءة » -
MFGINVEST توجّه استثماراتها وفق معطيات السوق لا التوقعات
بيروت – أعلنت شركة MFGINVEST عن تطوير استراتيجياتها في الاستثمار وإدارة المحافظ المالية، في خطوة تهدف إلى مواكبة التحوّلات المتسارعة…
أكمل القراءة » -
المذنب 3I/ATLAS يثير قلق العلماء من جديد
إقرأ المزيد ويقول العالم في مدونته إن مذنب 3I/ATLAS يفتقر إلى آثار جزيئات الغبار المجهرية التي عادةً تعزز اللون الأزرق…
أكمل القراءة » -
أصبح Siri 2.0 من Apple على وشك الوصول، ولكنه مجرد بداية لإصلاح الذكاء الاصطناعي
تم إطلاق تفاحة Intelligence لأول مرة في عام 2024، ولكن يبدو بشكل متزايد أن عام 2026 سيكون عامًا أكثر أهمية…
أكمل القراءة »